
15 / 17

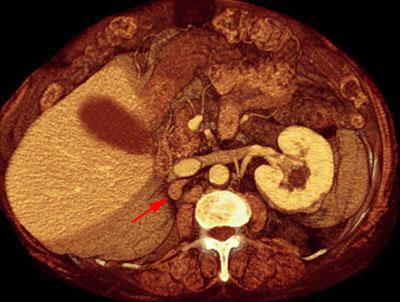
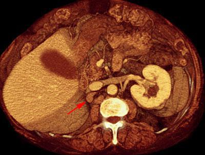
Recidiva adenopática de hipernefroma
VR seccional. Visión axial caudal. TC contrastado en fase venosa como control de nefrectomía derecha mostrando recidiva adenopática a nivel retrocava (flecha)
Comentarios
Sin comentarios
Sé el primero en publicar un comentario