
11 / 17

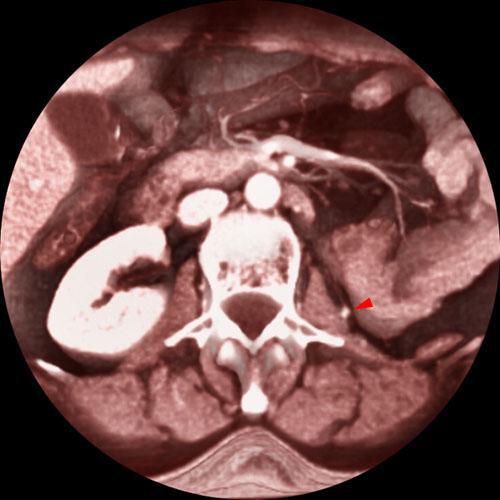
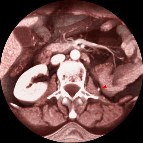
Recidiva local de hipernefroma
VR seccional. Visión axial caudal. TC contrastado en fase venosa, apreciándose una pequeña lesión nodular (punta de flecha), captante de contraste y pegada al músculo psoas, correspondiente a recidiva del hipernefroma
Comentarios
Sin comentarios
Sé el primero en publicar un comentario