
9 / 17

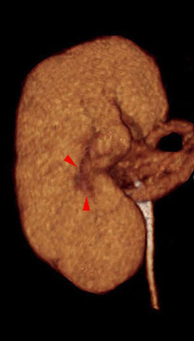
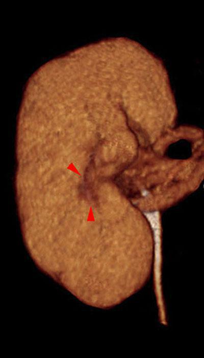
Nefrectomía parcial. Tumorectomia
VR seccional. Visión anterior. TC contrastado en fases venosa y excretora que presenta una pequeña depresión cortical (puntas de flecha) en el lugar de la tumorectomía
Comentarios
Sin comentarios
Sé el primero en publicar un comentario