
7 / 17

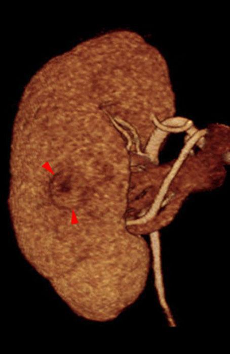
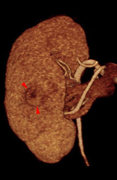
Nefrectomía parcial. Tumorectomia
VR 3D Visión anterior. AngioTC renal mostrando una pequeña tumoración cortical (puntas de flecha), captante de contraste,en valva anterior del riñón derecho
Comentarios
Sin comentarios
Sé el primero en publicar un comentario