
3 / 17

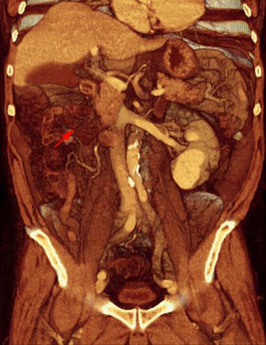
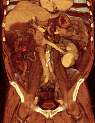
Nefrectomía radical
VR seccional. Visión coronal anterior. En este TC contrastado se aprecia una ausencia del riñon derecho por nefrectomia radical y una ocupación de la fosa renal derecha por asas intestinales ileales (flecha)
Comentarios
Sin comentarios
Sé el primero en publicar un comentario