
2 / 17

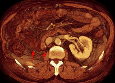
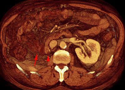
Nefrectomía radical
VR seccional. Visión axial caudal. En este TC contrastado se aprecia una ausencia del riñon derecho por nefrectomia radical y una ocupación de la fosa renal derecha por la segunda porción duodenal (punta de flecha) y por asas intestinales ileales (flecha)
Comentarios
Sin comentarios
Sé el primero en publicar un comentario