
11 / 11

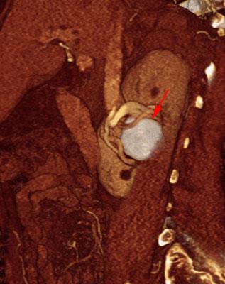
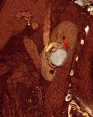
Aneurisma de arteria renal en monorreno
VR seccional. Visión sagital izquierda. AngioTC renal mostrando un aneurisma renal calcificado de la arteria renal derecha (flecha) a nivel del seno renal
Comentarios
Sin comentarios
Sé el primero en publicar un comentario