
17 / 18

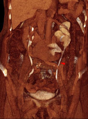
Riñón en herradura. Obstrucción por litiasis ureteral
VR seccional. Visión coronal anterior. TC abdominal contrastado en fase excretora. Catéter doble J en vía urinaria izquierda (punta de flecha)
Comentarios
Sin comentarios
Sé el primero en publicar un comentario