
7 / 18

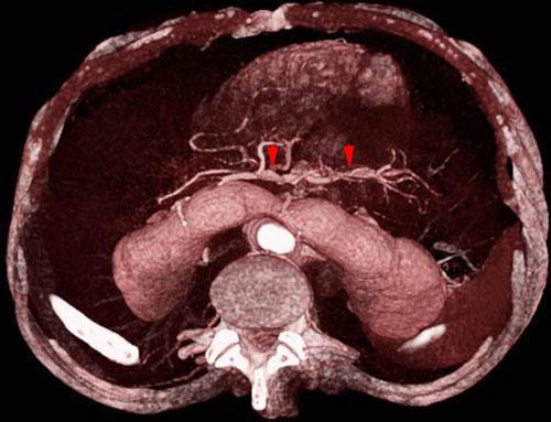
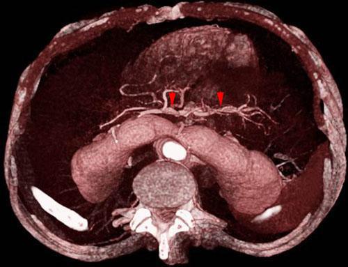
Riñón en herradura 2
VR 3D Visión caudal. AngioTC aórtico en fase arterial mostrando la fusión de ambos polos inferiores entre aorta abdominal y vasos mesentéricos superiores (puntas de flecha).
Comentarios
Sin comentarios
Sé el primero en publicar un comentario