
2 / 18

Riñón en herradura 1
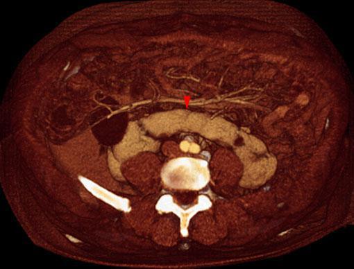
VR seccional. Visión axial caudal. Fusión de los polos inferriores de ambos riñones (punta de flecha) por delante de la bifurcación aórtica.
Comentarios
Sin comentarios
Sé el primero en publicar un comentario


VR seccional. Visión axial caudal. Fusión de los polos inferriores de ambos riñones (punta de flecha) por delante de la bifurcación aórtica.