
15 / 20

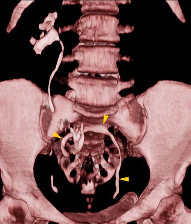
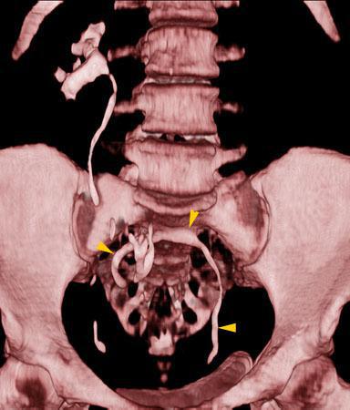
Ectopia renal cruzada
VR 3D Visión anterior. En esta fase excretora de este TC abdominal se observa el uréter izquierdo (puntas de flecha) cruzando la línea media para alcanzar la vejiga en su posición habitual
Comentarios
Sin comentarios
Sé el primero en publicar un comentario