
14 / 20

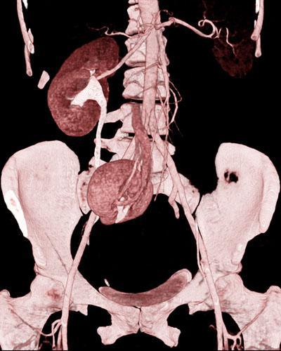
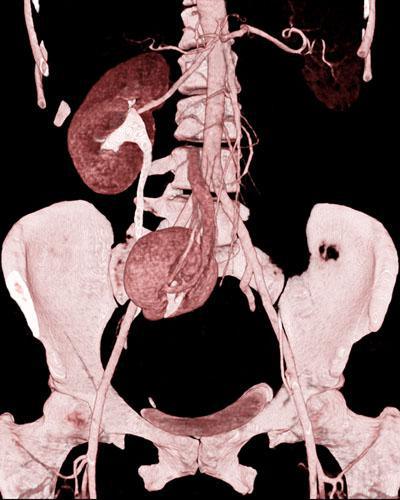
Ectopia renal cruzada
VR 3D Visión anterior. Riñón izquierdo, de situación pélvica, a la derecha de la línea media, con malrotación renal anterior
Comentarios
Sin comentarios
Sé el primero en publicar un comentario


VR 3D Visión anterior. Riñón izquierdo, de situación pélvica, a la derecha de la línea media, con malrotación renal anterior