
13 / 20

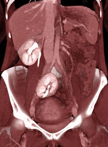
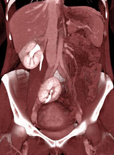
Ectopia renal cruzada
VR seccional. Visión coronal anterior. Riñón izquierdo, de situación pélvica, a la derecha de la línea media por encima de un útero aumentado de tamaño.
Comentarios
Sin comentarios
Sé el primero en publicar un comentario