
23 / 24

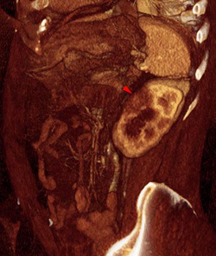
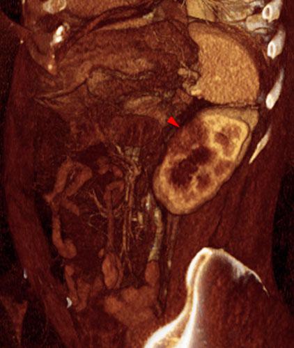
Obstrucción renal en duplicidad. Absceso renal
VR seccional. Visión sagital izquierda. Área focal abscesificada en valva anterior (punta de flecha)
Comentarios
Sin comentarios
Sé el primero en publicar un comentario


VR seccional. Visión sagital izquierda. Área focal abscesificada en valva anterior (punta de flecha)