
22 / 24

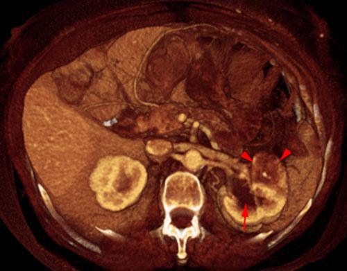
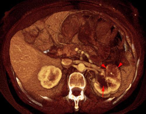
Obstrucción renal en duplicidad. Absceso renal
VR seccional. Visión axial caudal. Dilatación pielocalicial (flecha). Área focal abscesificada en valva anterior (puntas de flecha)
Comentarios
Sin comentarios
Sé el primero en publicar un comentario