
20 / 24

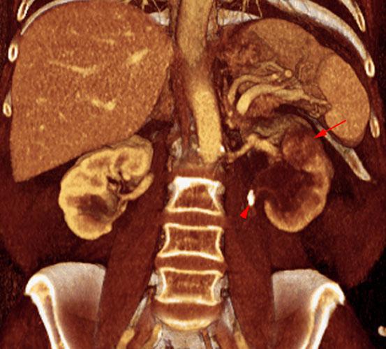
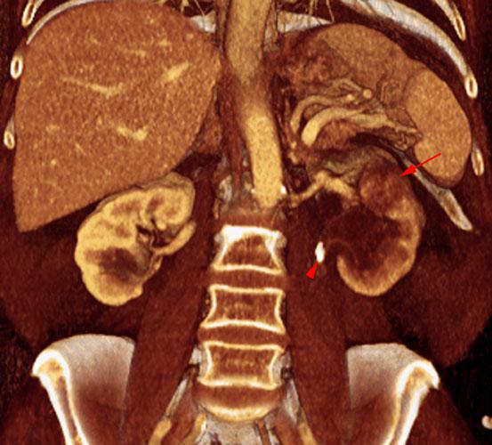
Obstrucción renal en duplicidad. Absceso renal
VR seccional. Visión coronal anterior. Riñón izquierdo con disminución de su contrastación y litiasis obstructiva en la unión pieloureteral (punta de flecha) Área focal abscesificada en valva anterior (flecha)
Comentarios
Sin comentarios
Sé el primero en publicar un comentario