
18 / 24

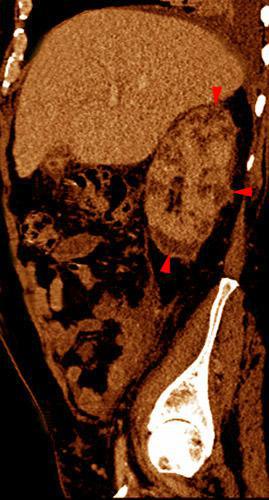
Abscesos renales en pionefrosis
VR seccional. Visión sagital izquierda. Nefromegalia. Múltiples lesiones hipodensas (puntas de flecha) correspondientes a abscesos renales
Comentarios
Sin comentarios
Sé el primero en publicar un comentario


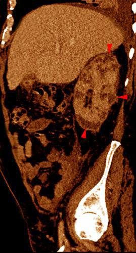
VR seccional. Visión sagital izquierda. Nefromegalia. Múltiples lesiones hipodensas (puntas de flecha) correspondientes a abscesos renales