
17 / 24

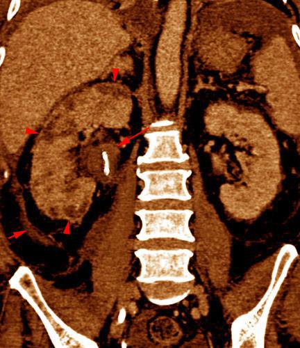
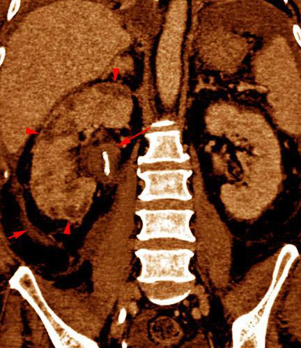
Abscesos renales en pionefrosis
VR seccional. Visión coronal anterior. Nefromegalia. Obstrucción renal derecha con catéter doble J (flecha larga). Múltiples lesiones hipodensas (puntas de flecha) correspondientes a abscesos renales. Obsérvese el engrosamiento de la fascia de Gerota (flecha corta)
Comentarios
Sin comentarios
Sé el primero en publicar un comentario