
16 / 24

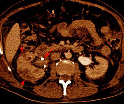
Abscesos renales en pionefrosis
VR seccional. Visión axial caudal. Nefromegalia. Obstrucción renal derecha con catéter doble J (flecha). Múltiples lesiones hipodensas (puntas de flecha) correspondientes a abscesos renales
Comentarios
Sin comentarios
Sé el primero en publicar un comentario