
12 / 24

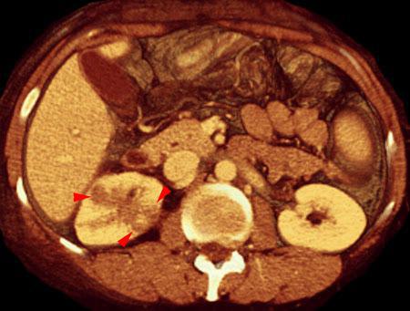
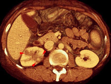
Pielonefritis aguda 2
VR seccional. Visión axial caudal. TC contrastado en fase venosa poniendo de manifiesto múltiples focos hipodensos (puntas de flecha) que traducen una pielonefritis multifocal
Comentarios
Sin comentarios
Sé el primero en publicar un comentario