
10 / 24

Pielonefritis aguda 1
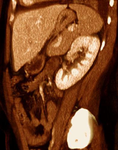
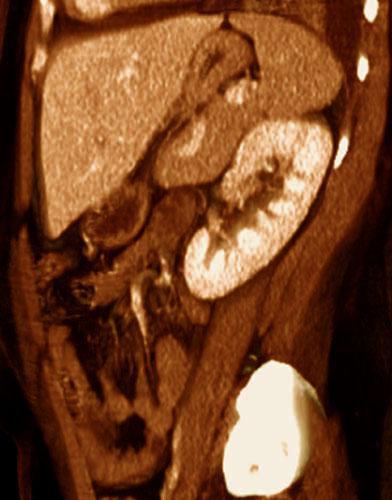
VR seccional. Visión sagital izquierda. Riñón izquierdo de tamaño y contrastación normales
Comentarios
Sin comentarios
Sé el primero en publicar un comentario


VR seccional. Visión sagital izquierda. Riñón izquierdo de tamaño y contrastación normales