
8 / 24

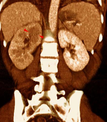
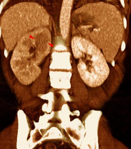
Pielonefritis aguda 1
VR seccional. Visión coronal anterior. Riñón derecho aumentado de tamaño y con disminución de la contrastación. Área hipodensa (puntas de flecha) en su polo superior
Comentarios
Sin comentarios
Sé el primero en publicar un comentario