
7 / 24

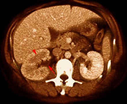
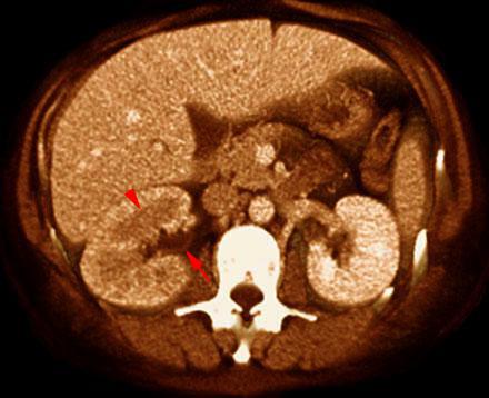
Pielonefritis aguda 1
VR seccional. Visión axial caudal. Riñón derecho aumentado de tamaño y con disminución de la contrastación. En valva anterior se aprecia un área moderadamente hipodensa (punta de flecha). Moderado engrosamiento del urotelio de la pelvis renal (flecha)
Comentarios
Sin comentarios
Sé el primero en publicar un comentario