
3 / 24

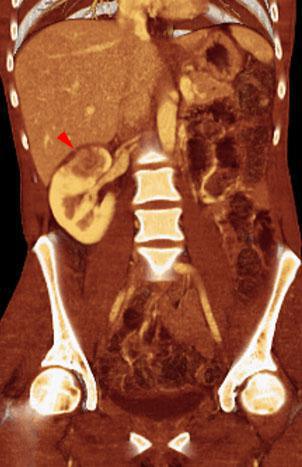
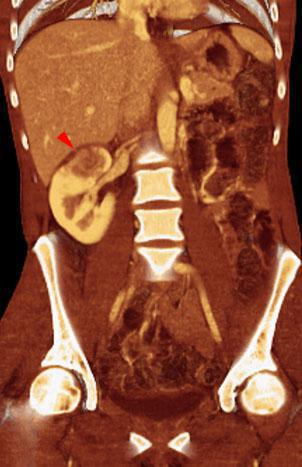
Pielonefritis bilateral aguda y crónica
VR seccional. Visión coronal anterior. TC contrastado en fase venosa. Mujer de 39 años. Lesión hipodensa renal derecha con signos inflamatorios perirrenales (punta de flecha)
Comentarios
Sin comentarios
Sé el primero en publicar un comentario