
2 / 24

Pielonefritis bilateral aguda y crónica
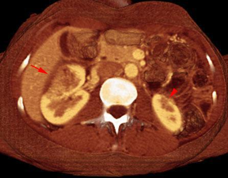
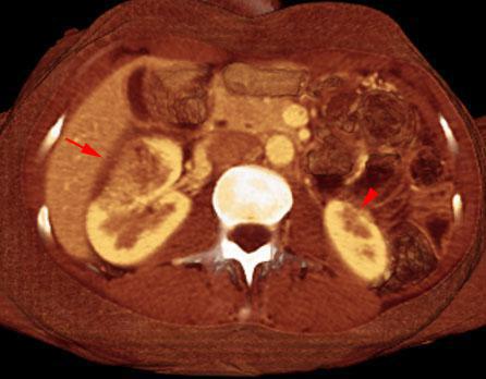
VR seccional. Visión axial caudal. TC contrastado en fase venosa. Mujer de 39 años. Lesión hipodensa renal derecha con signos inflamatorios perirrenales (flecha). Atrofia cortical de origen pielonefrítico renal izquierda (punta de flecha)
Comentarios
Sin comentarios
Sé el primero en publicar un comentario