
20 / 21

Riñón mastic
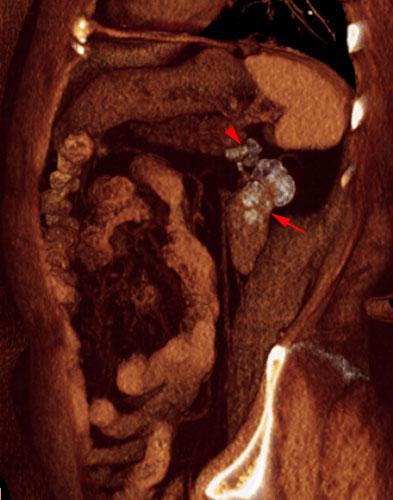
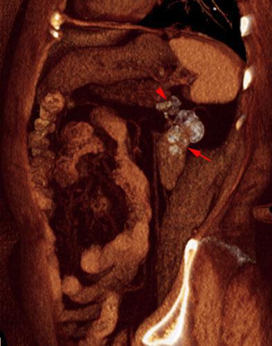
VR seccional. Visión sagital izquierda. Estudio no contrastado. Riñón izquierdo atrófico parcialmente calcificado (flecha). Calcificación asociada de la glándula suprarrenal izquierda (punta de flecha)
Comentarios
Sin comentarios
Sé el primero en publicar un comentario