
19 / 21

Riñón mastic
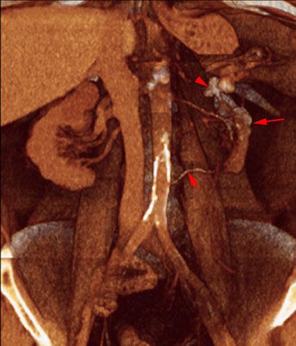
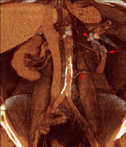
VR seccional. Visión coronal anterior. Estudio no contrastado. Riñón izquierdo atrófico parcialmente calcificado (flecha larga). Arteria polar inferior (flecha corta). Calcificación de la glándula suprarrenal izquierda (punta de flecha)
Comentarios
Sin comentarios
Sé el primero en publicar un comentario