
18 / 21

Riñón mastic
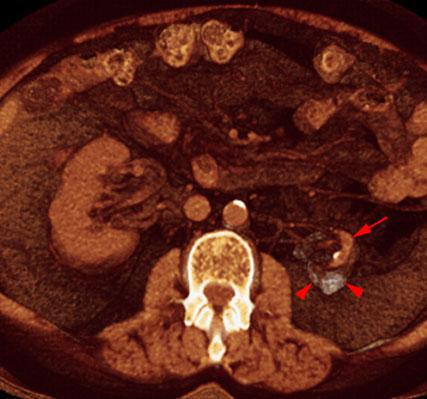
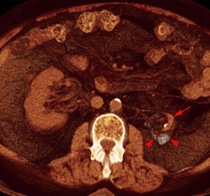
VR seccional. Visión axial caudal. Estudio no contrastado. Atrofia renal izquierda (flecha) con riñón derecho compensador. Calcificación parcial del parenquima renal (puntas de flecha)
Comentarios
Sin comentarios
Sé el primero en publicar un comentario