
13 / 21

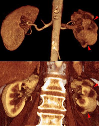
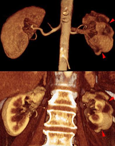
Pielonefritis crónica en tbc
VR 3D y VR seccional. Visión anterior. TC contrastado en fase arterial. Mujer de 70 años. Riñón izquierdo de menor tamaño, cortical adelgazada y lesiones cicatrizales (puntas de flecha)
Comentarios
Sin comentarios
Sé el primero en publicar un comentario