
8 / 21

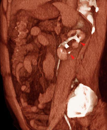
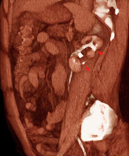
Pielonefritis crónica
VR seccional. Visión sagital izquierda. TC contrastado en fase excretora mostrando dos lesiones cicatrizales (puntas de flecha), coincidiendo con los cálices renales
Comentarios
Sin comentarios
Sé el primero en publicar un comentario