
6 / 21

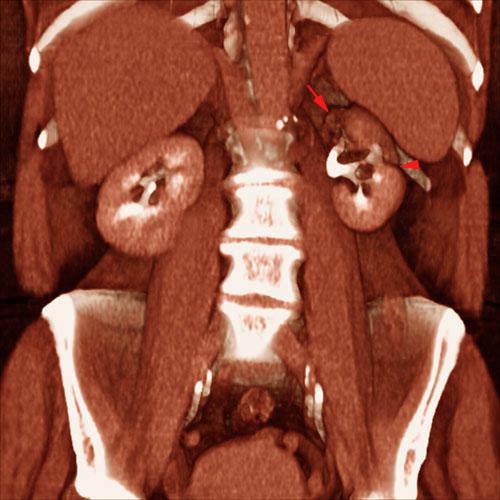
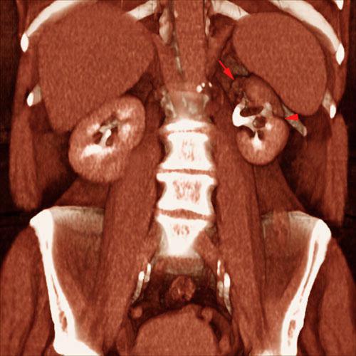
Pielonefritis crónica
VR seccional. Visión coronal anterior. Exploración contrastada en fase excretora. Existe una atrofia cortical del polo renal superior izquierdo (flecha) y una lesión cicatrizal cortical (punta de flecha) con disminución de la distancia corticomedular
Comentarios
Sin comentarios
Sé el primero en publicar un comentario