
4 / 21

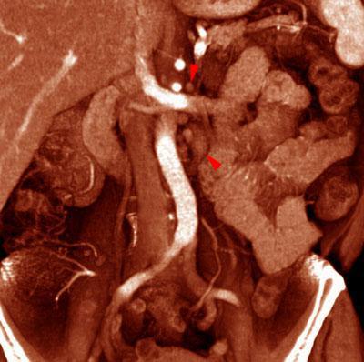
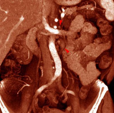
Pielonefritis xantogranulomatosa
VR seccional. Visión coronal anterior. TC contrastado en fase venosa mostrando adenopatías retroperitoneales en cadena paraaórtica izquierda (puntas de flecha)
Comentarios
Sin comentarios
Sé el primero en publicar un comentario