
2 / 21

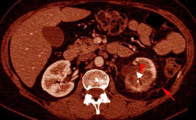
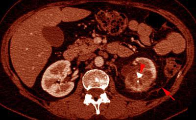
Pielonefritis xantogranulomatosa
VR seccional. Visión axial caudal. TC contrastado en fase venosa mostrando litiásis renal izquierda (punta de flecha) junto a cambios necroticos en su entorno. Obsérvense los cambios inflamatorios en fascia de Gerota (flecha) y espacio perirrenal
Comentarios
Sin comentarios
Sé el primero en publicar un comentario