
6 / 13

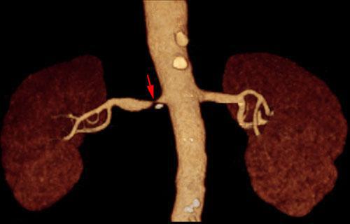
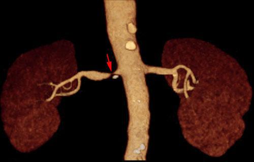
Estenosis intensa de arteria renal 1
VR 3D Visión anterior. AngioTC renal mostrando una estenosis ateromatosa intensa junto al ostium de la arteria renal derecha (flecha). Obsérvese una dilatación postestenótica
Comentarios
Sin comentarios
Sé el primero en publicar un comentario