
12 / 16

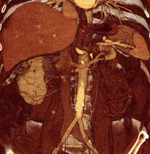
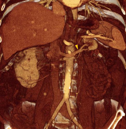
Hipoplasia renal 2
VR seccional. Visión coronal anterior. Se visualiza un riñón izquierdo con contornos lisos y de pequeño tamaño. Obsérvese la vena renal izquierda (punta de flecha) de un tamaño proporcionado al riñón
Comentarios
Sin comentarios
Sé el primero en publicar un comentario