
9 / 16

Hipoplasia renal 1
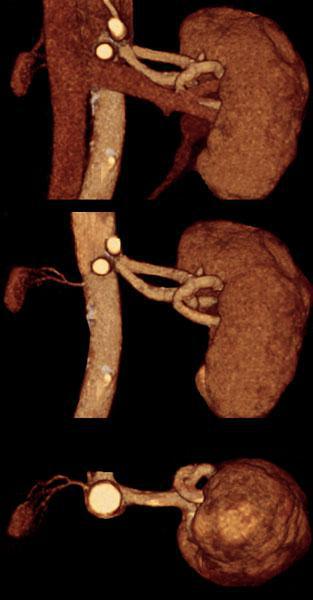
VR 3D Visión anterior y caudal. En esta fase vascular de este estudio se pone de manifiesto el tamaño hipoplásico del riñón derecho y sus vasos
Comentarios
Sin comentarios
Sé el primero en publicar un comentario


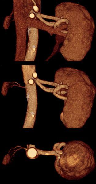
VR 3D Visión anterior y caudal. En esta fase vascular de este estudio se pone de manifiesto el tamaño hipoplásico del riñón derecho y sus vasos