
8 / 16

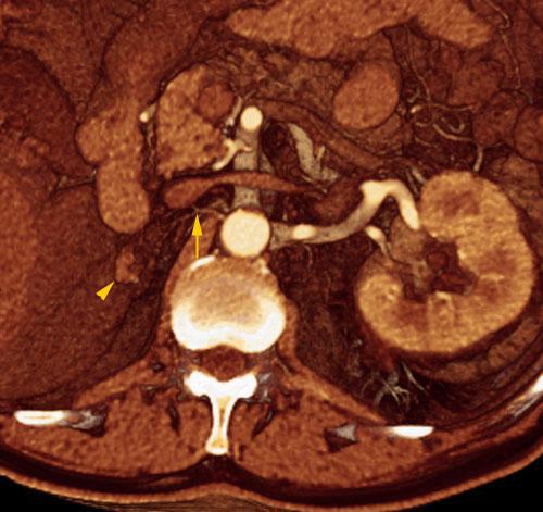
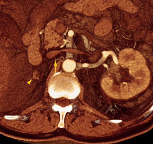
Hipoplasia renal 1
VR seccional. Visión axial caudal. Riñón derecho (punta de flecha) de muy pequeño tamaño en fosa renal. Obsérvese la presencia de los vasos renales (flecha) también de aspecto hipoplásico
Comentarios
Sin comentarios
Sé el primero en publicar un comentario