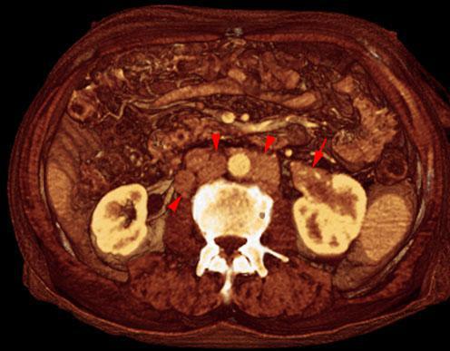
Los tumores renales pueden ser originados en el tejido cortical o en los diversos derivados mesenquimatosos en el parénquima o la cápsula renales. Son habituales para su diagnóstico la ecografía, el TC (simple y contrastado) y la RM.
La diferenciación radiológica precisa un estudio de su localización, tamaño, densidades intratumorales, extensión, comportamiento con el contraste, afectación vascular y existencia de adenopatías locorregionales asi como afectación suprarrenal o metastásica.
Es indispensable una aproximación prequirúrgica que determine la vascularización aterial y venosa de los riñones
