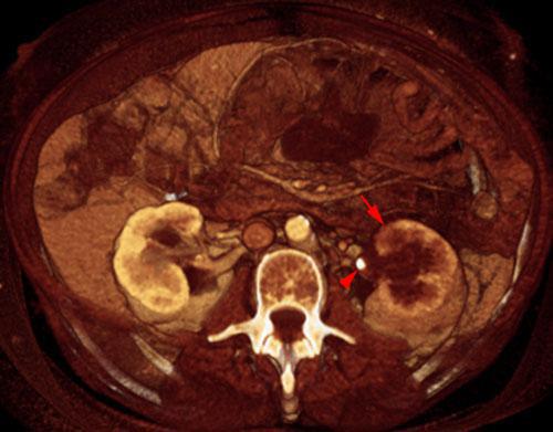
Las lesiones infecciosas del parenquima renal pueden ser visualizadas en fases agudas o como lesiones residuales en fase crónica.
Las lesiones agudas si son pequeñas pueden pasar desapecibidas en la fase coticomedular, identificándose mejor en la fase excretora.
Deben ser estudiados el tamaño renal, área perirrenal, contornos renales, densidad del parénquima renal, cálices renales y distancia corticomedular en estrecha correlación con la clínica del paciente.
