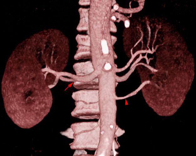
La alta frecuencia de variantes de vascularización arterial de los riñones determina la importancia de su estudio en la planificacion prequirúrgica de las lesiones por cirugía abierta o laparascopica, cirugía del trasplante renal y realización de intervencionismo endovascular.
Así mismo es indispensable en el estudio de la vascularización de variaciones congénitas renales (ectopia y anomalías de sínfisis).
El AngioTC arterial y venoso es la técnica de elección para la demostración de la unidad o multiplicidad, unilateralidad o bilateralidad, origen y destino de los vasos arteriales: arterias renales principales, accesorias y polares y ramificación arterial prehiliar.
Las reconstrucciones volumétricas tridimensionales juegan un papael muy importante en el estudio y comprensión de estas variaciones
