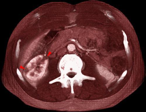
La obstrucción unilateral de una arteria renal puede dar lugar a un cuadro isquémico agudo o una atrofia renal por isquemia crónica.
Su estudio debe realizarse mediante ecografía y fundamentalmente mediante AngioTC que nos permite localizar el lugar de la oclusión reservando la angiografía por sustracción digital para los tratamientos endovasculares oportunos.
