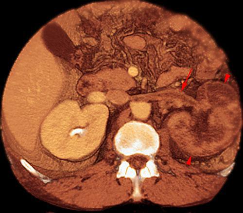
La patología venosa de las venas renales bien de origen compresivo o por trombosis, precisa de un estudio ecográfico morfológico o con técnica Doppler.
El diagnóstico se realiza habitualmente mediante AngioTC en fases arterial y venosa que permitirá comprobar la permeabilidad o compresión de la misma y su causa.
