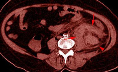
El traumatismo renal es frecuente en pacientes politraumatizados. Los hallazgos radiológicos son clave en la actitud a tomar en estos pacientes.
Aunque la ecografía abdominal permite identificar la gravedad de la lesión, la prueba de elección es el AngioTC de aorta abdominal en fases arterial y venosa que permitirá diagnósticar la integridad del pedículo vascular y la asociación de otras lesiones abdominales de origen traumático.
La técnica de UroTC puede ser muy útil cuando se sospeche la afectación de la vía urinaria.
