
17 / 18

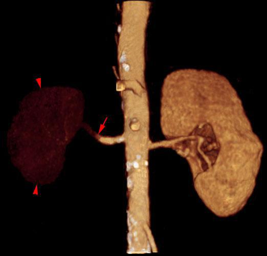
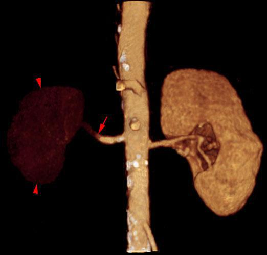
Infarto renal agudo
VR 3D Visión anterior. AngioTC renal mostrando junto a una importante disminución de la contrastación del riñón derecho (puntas de flecha) una trombosis en el tercio medio de la arteria renal derecha (flecha)
Comentarios
Sin comentarios
Sé el primero en publicar un comentario