
15 / 18

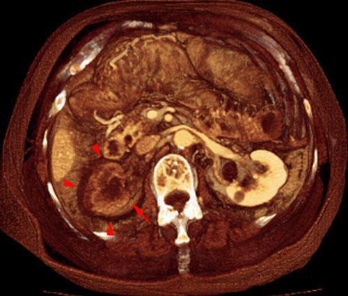
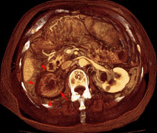
Infarto renal agudo
VR seccional. Visión axial caudal. AngioTC renal mostrando una disminución de la contrastación del riñón derecho (flecha) con la presencia de líquido subcapsular (puntas de flecha)
Comentarios
Sin comentarios
Sé el primero en publicar un comentario