
13 / 18

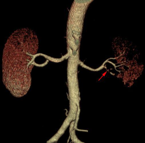
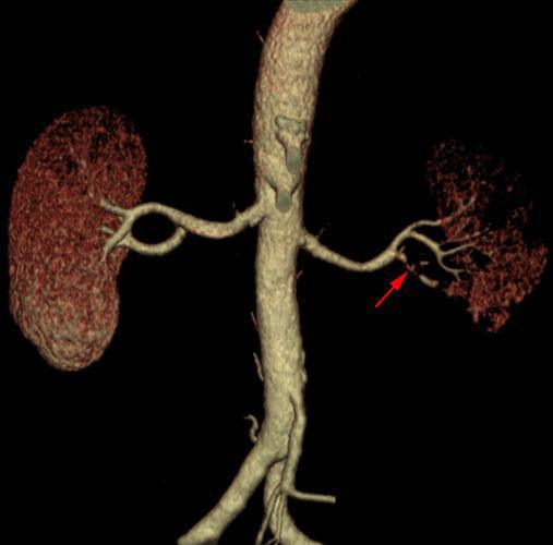
Infarto renal segmentario
VR 3D Visión anterior. AngioTC renal mostrando una clara estenosis isquémica (flecha) en el territorio de la rama anterior de la arteria renal izquierda
Comentarios
Sin comentarios
Sé el primero en publicar un comentario