
10 / 18

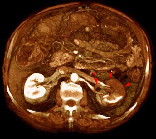
Infarto renal segmentario
VR seccional. Visión axial caudal. AngioTC renal que muestra un área isquémica (puntas de flecha) bien delimitada en el territorio de la rama anterior de la arteria renal izquierda (flecha)
Comentarios
Sin comentarios
Sé el primero en publicar un comentario