
6 / 18

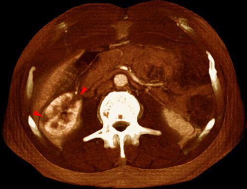
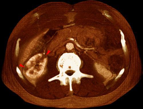
Infartos renales múltiples
VR seccional. Visión axial caudal. TC contrastado en fase venosa. Lesiones hipodensas multifocales y periféricas (puntas de flecha) en un paciente con neoplasia broncopulmonar
Comentarios
Sin comentarios
Sé el primero en publicar un comentario