
7 / 12

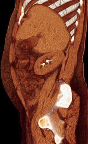
Riñón horizontalizado
VR seccional. Visión sagital izquierda. Existe una evidente horizontalización del riñón derecho que únicamente se demuestra en esta visión
Comentarios
Sin comentarios
Sé el primero en publicar un comentario


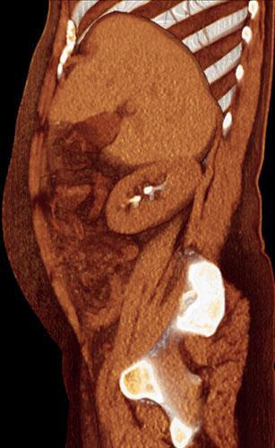
VR seccional. Visión sagital izquierda. Existe una evidente horizontalización del riñón derecho que únicamente se demuestra en esta visión