
6 / 12

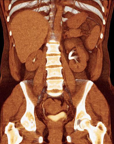
Riñón horizontalizado
VR seccional. Visión coronal anterior. Existe una asimetría de tamaño entre ambos riñones secundaria a una horizontalización del riñón derecho
Comentarios
Sin comentarios
Sé el primero en publicar un comentario


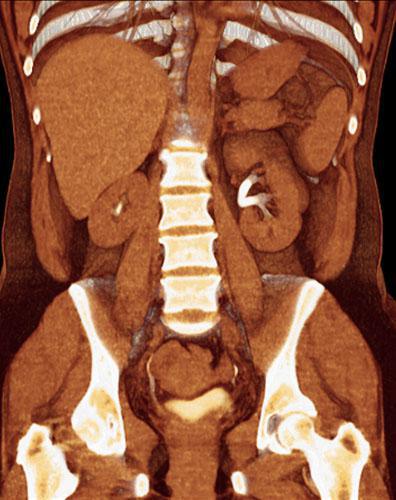
VR seccional. Visión coronal anterior. Existe una asimetría de tamaño entre ambos riñones secundaria a una horizontalización del riñón derecho